Kính hiển vi điện tử quét SEM với Sinh học cấu trúc
Trong sinh học cấu trúc, việc phân tích cấu trúc tế bào cung cấp nhiều thông tin ẩn dưới bề mặt của tế bào và mô. Thiết bị điển hình sử dụng trong lĩnh vực nghiên cứu này là Kính hiển vi điện tử truyền qua (TEM). Tuy nhiên, công nghệ của Kính hiển vi điện tử quét SEM TESCAN đang trở nên phổ biến trong lĩnh vực này nhờ vào những cải tiến liên tục cho ra nhiều kỹ thuật mới. TESCAN cung cấp nhiều giải pháp hiện đại giúp cho các nhà khoa học thực hiện nghiên cứu các tế bào sinh học.
- Cách tiếp cận đầu tiên là tích hợp đầu dò STEM vào bên trong buồng SEM, do vậy có thể chuyển đổi SEM thành thiết bị TEM ở điện thế thấp.
- Đầu dò STEM hoàn toàn phù hợp với lưới tiêu chuẩn thường được sử dụng trong TEM
- Một cách tiếp cận khác là sử dụng phân đoạn nối tiếp bên trong thiết bị SEM theo sau bởi hình ảnh. Việc phân đoạn được thực hiện bằng cách cài đặt một dao siêu vi phẫu vào bên trong buồng hoặc sử dụng trực tiếp công nghệ hội tụ chùm ion.
- Bằng việc phân chia nối tiếp các mẫu, sau đó là phân đoạn và tạo ảnh, các nhà nghiên cứu có thể dễ dàng hình dung dữ liệu liên quan dưới dạng 3D.
Một vài ảnh chụp bằng Kính hiển vi điện tử quét SEM & FIB-SEM TESCAN

3D reconstruction of retina tissue (chụp bằng Kính hiển vi điện tử quét SEM, FIB-SEM TESCAN)

Large area FIB SEM cross section in a resin embedded tooth (chụp bằng Kính hiển vi điện tử quét SEM, FIB-SEM TESCAN)

Osteoblast layer in a mouse tooth (chụp bằng Kính hiển vi điện tử quét SEM, FIB-SEM TESCAN)

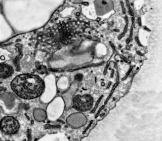
Serial block phase image of a cellnucleus (chụp bằng Kính hiển vi điện tử quét SEM, FIB-SEM TESCAN)

Tiếng Việt
日本語 (Japan)
한국어 (Korean)
中文 (Chinese)
English (UK)